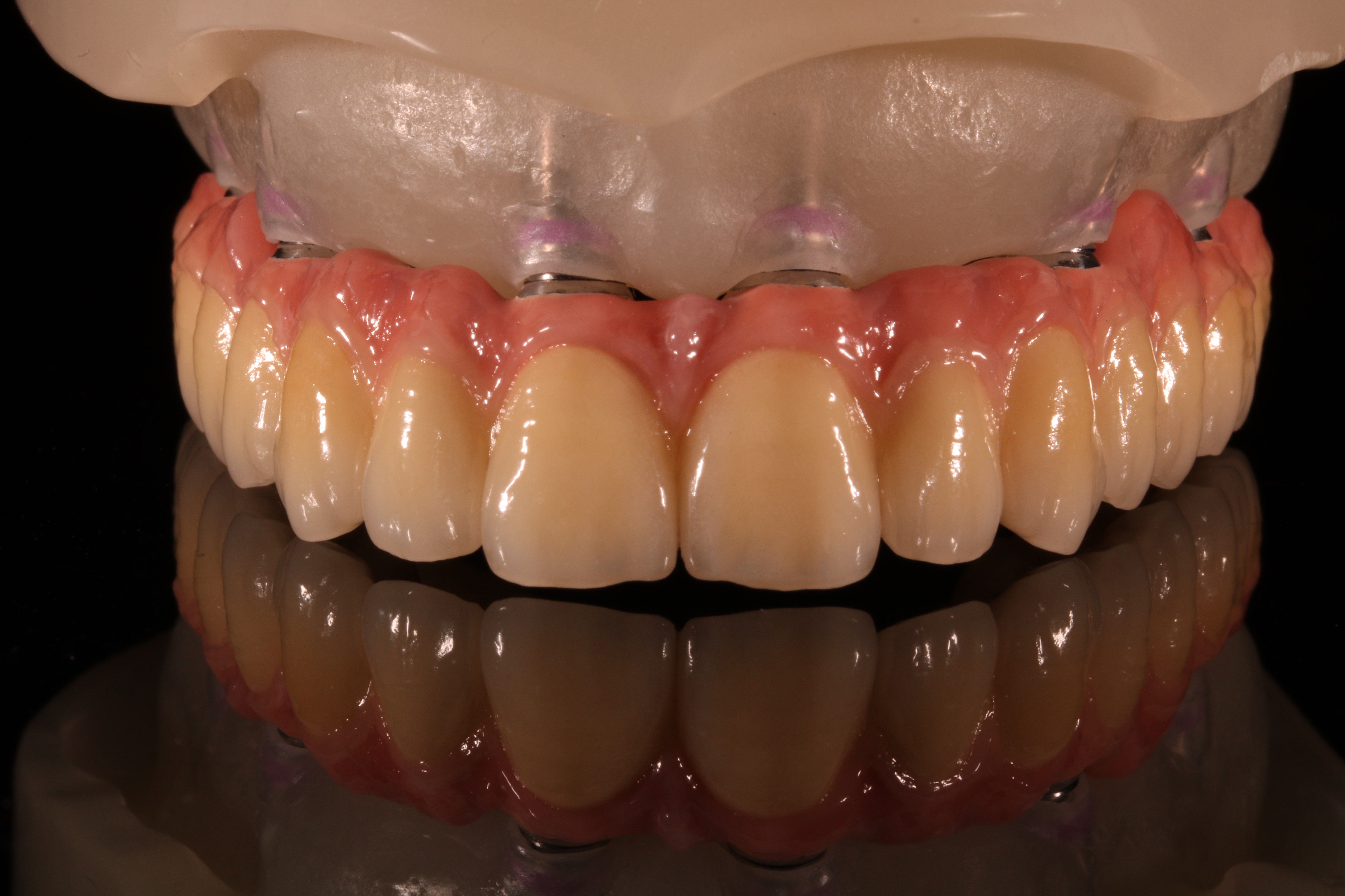
Implants

Traditional restorative processes cannot always offer adequate remedy for teeth loss, or replace them perfectly. That is when implants are needed.
  • 1106 Bp. Fehér út 10. 26.ép. 2. em.
  • 36 / (70) 396 6656